セレック治療とは、コンピュータ制御によってセラミックの詰め物や被せ物を設計・製造し、短期間に精密な詰め物や被せ物を入れることができる治療です。
従来は歯科技工士さんがオーダーメイドで製作していたため、数回の来院が必要でしたが、セレック治療ではデジタルスキャンによる歯の形状の計測やデザイン、そしてミリングマシンによる加工が同じ日に行われるため、時間と手間を大幅に削減することができます。
セレック治療は、患者様の忙しいスケジュールに合わせて効率的に治療を行うことができ、高い満足度を得ていただいております。
患者さまの歯の健康を大切にするため、短期間で低コストな治療を実現しています。
美しさ、耐久性、安全性、費用 全ての面で優れた治療法です
是非お試しください

セレックの特徴
セレック治療は高品質なセラミック治療を低価格で行うことができる最新の歯科治療です。

POINT1
コンピューター制御によってセラミックの修復物を設計、製造
今までは技工士さんが何時間もかけて行っていたステップを、機械がものの10分程度で行えるようになりました。
セラミックの被せ物の料金が高かったのは、技工士の技術料や材料費が高かったためで、セレックはその分のコストをカットできるようになったので従来のセラミックよりも安くご提供できるようになりました。
| セレック価格(税込) | 当院従来価格(税抜) | |
|---|---|---|
| セラミッククラウン前歯 | 7万円 | 12万円 |
| セラミッククラウン臼歯 | 5万5千円 | 10万円 |
| セラミックインレー | 4万円 | 7万円 |
その他 E.maxやジルコニアなど、他のセラミック素材にも対応しております。
POINT2
虫歯が非常に再発しにくい治療法
「せっかく治したのにまた虫歯になってる!」
「治療が終わってそんなに経ってないのに取れてきてしまった」
という経験はありませんか?
これらは修復物の適合が悪いのとセメント(接着剤)の劣化からくる保険材料の性質上の問題です。
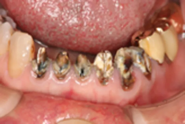
治療後10年以上経った保険の修復物を外すと中はこうなっています↓
「治療したのに全然治ってないやん!」という声が聞こえてきそうです。
しかし!
セレックで製造した被せ物はミクロン単位で精密かつ正確に適合しますので、隙間から細菌や汚れが入り込むということはありません。
それともう一つ! セレックでは使用するセメントが高品質です
歯と被せ物を一体化させるほど強度に接着します。
ですから保険のセメントのように劣化して流れ出すということはありません。
セレックはドイツで開発されて30年の歴史がありますが、データによると
セレック治療を行った歯は20年後の虫歯再発率が5%以下です!
POINT3
材質が劣化せず美しさが長期保たれる
保険材料のレジン(プラスティック)のような摩耗や着色、変色がありません。
金属修復材料のように劣化して表面がザラザラになりプラークが付きやすくなるということもありません。
従来のセラミック修復物は、技工士の手作業でセラミックの材料を盛り上げて作っていたので中に空気が入ったり目に見えない小さなヒビが入ってしまい、その為に強度が出ません。
セレックで使用するセラミックは工場で規格生産していますので、気泡や異物が混入することもなく、常に品質が安定しています。
POINT4
セラミックは身体に安全な材料
セラミックは天然歯に最も近い素材です。
天然歯とほぼ同じ強度のため噛み心地、すり減りなどがとても自然です。
飲食物による温度刺激や化学刺激、細菌による刺激などの過酷な環境下でも劣化することなく、長期にわたって安全性が保たれます。
金属アレルギーがある方にも安心の材料です。
セレック治療のデメリット

- 神経を残して治療した場合、しばらく歯がしみることがあります。
(短い方は2、3日、長い方は3ヶ月ほど) - 上記のしみがひどくなると稀に神経を取らなければいけないことがあります。
- セラミックの破折防止のために、対合歯(噛み合う相手の歯)を削ることがあります。
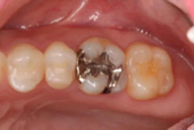
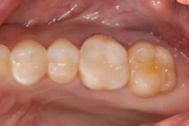
当院治療例
セラミックインレー治療
| 料金 | 40,000円 |
|---|
-
- 治療前

-
- 治療後










