安全かつ効果的なホワイトニング治療を提供しております。
歯の黄ばみや着色にお悩みの方に、より明るく輝く白い歯を実現するお手伝いをさせていただきます。
当院では、患者さまの歯の状態をしっかりと評価し、最適なホワイトニングプランをご提案いたします。
使用する薬剤は安全性が高く、歯に優しく効果的なものを厳選しております。
ホワイトニング後のアフターケアや定期的なメンテナンスもご提案しておりますので、長期的な美しい歯の状態を維持するお手伝いもさせていただきます。
白く美しい歯で笑顔を取り戻しませんか?

ポリリン酸ホワイトニング
世界特許!
分割ポリリン酸Naで驚きの白さの新しいホワイトニングを体験してみませんか?
1回 11,000円(税込)
お得な4回セット 39,000円(税込)

スーパーポリリンホワイトニングシステムはここが違います!

ポリリン酸ホワイトニングのメリット
-
痛くない- 歯を痛めないので「痛み」「シミ」を感じません
-
歯に優しい- 歯を傷つけにくくエナメル質の表面を守ります
-
食事制限なし- ホワイトニング直後からご飲食OK
色の濃いものもご飲食いただけます
-
自然な白さ- 炭素&プラチナ効果で透明感のある自然な白さをGET!
-
白さ長持ち- ステイン除去&付着防止効果で白さが長続きします
-
歯質強化- コーティング効果により歯が強くなり虫歯になりにくくなります
今までのホワイトニングと何が違うの?
最大の違いは「痛くない」「白くなる」「歯を守る」です!
| 従来のホワイトニング | スーパーポリリンホワイトニング | |
|---|---|---|
| 白さ | 薬液によって着色するので透明感のない白さになります。 | プラチナナノコロイドの効果でキラキラ輝く自然な白さになります。 |
| 痛み | 知覚過敏になることもあります。痛みを感じやすい。 | 痛みを感じることは非常に少ないです。 |
| 色戻り | 歯をコーティングしていないので施術直後は特に着色しやすいです。 | 分割ポリリン酸が歯をコーティングし汚れも付きづらくなり透明感のある白さが長持ちします。 |
| 保護力 | ホワイトニング剤を歯の表面に塗り色素を分解します。歯にダメージが残ります。 | ポリリンコーティングにより、歯を傷つけにくく、歯の表面もコーティングされ歯質が強化されます。 |
| お食事 | カレー・コーヒー・ワインなど施術直後は特に食事制限があります。 | 施術直後でもまったく食事制限は必要ありません。 |
| 施術時間 | 次回まで2〜3週間の期間が必要です。 | 1日何回でも大丈夫。 |
| 施術費用(1回) | 高額 | 低価格 |
スーパーポリリンホワイトニングは
こんな方にオススメです
笑顔・会話・食事 全ての中心である口元の健康に気をつけてみませんか

笑顔の印象を良くしたい

人前で話す機会が多い

歯の色が黄色くなった気がする

歯の汚れが気になる
(茶渋・ヤニなど)
若く、明るい印象になりたい

いつでも白い歯でいたい
好きな時に白くしたい
ポリリン酸って何?

「ポリ」とは「多数」を意味する語です。ですからリン酸が多数結合した物質とイメージしてください。
分割ポリリン酸とは、バクテリアから哺乳類まであらゆる生物の体内に存在する生体高分子です。リン酸が鎖状に複数個結合し、その長さと濃度によってそれぞれ効果が異なります。
ホワイトニングで使用するポリリン酸は、独自の技術によってその色々な長さの分子を分割し、一定の「長さ」にそろえた物質です。
これが世界特許となった所以です。
スーパーポリリンホワイトニングの流れ
-
STEP1
- 歯の表面をクリーニングします
-
STEP2
- ホワイトニングジェルを歯に塗ります
-
STEP3
- 専用ライトで光を9分間当てます
ジェル塗布→ライト照射を3回繰り返します
1来院でstep1〜3を行います。
時間にして45〜60分程度です。これを1セットとして、通常4セット行うことをおすすめしています。
ホワイトニングの効果は個人差があります。
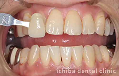
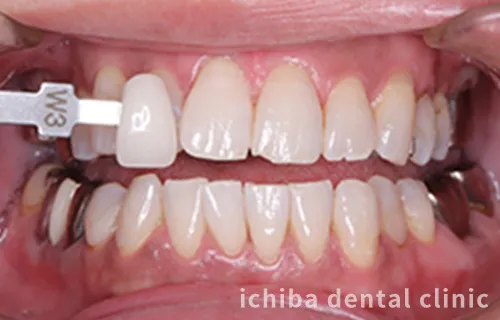
before&after
-
- 30代男性
-
料金:4回 39,800円
- Before

- After

- Before
-
- 40代男性
-
料金:4回 39,800円
- Before

- After

- Before
-
- 20代女性
-
料金:4回 39,800円
- Before

- After

- Before
-
- 30代女性
-
料金:4回 39,800円
- Before

- After

- Before






