入れ歯治療とは、虫歯や歯周病などで歯を失ってしまった場合、欠損した歯を人工物でおきかえることで噛み合わせを回復する治療です。
歯が抜けたまま放置すると噛み合わせが狂ったり顎の歪みにつながったりします。
その他、残った歯に負担がかかる、抜けた歯の隣の歯が傾いてくる、しっかり噛めないため偏食になったり認知症を発症しやすくなったりします。
ですから、抜けた部分は放置せずに入れ歯を入れましょう。
※入れ歯治療には保険適応のものと保険外のものがあります。
保険適応の入れ歯は費用が安いことがメリットですが使用出来る材料が限られています。そのため適合が悪い、壊れやすい等のデメリットがあります。
入れ歯は、失った歯の数により、「総入れ歯」「部分入れ歯」に分かれます。
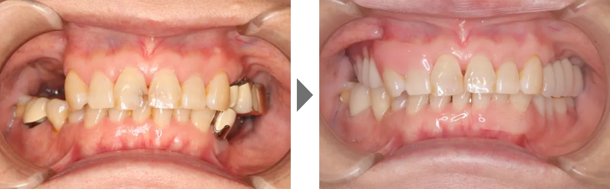
保険の総入れ歯
全ての歯を失った場合が、「総入れ歯」になります。
レジンというプラスチックの材料からできた床(ピンク色をした歯ぐきの部分)と人工歯からできています。
保険の部分入れ歯
歯が残っている方で、歯を失った部分に入れる装置のことを「部分入れ歯」といいます。
保険の部分入れ歯は、レジンというプラスチックの材料からできた床(ピンク色の歯ぐきの部分)と人工歯と残っている歯に引っかけるバネ(クラスプ)からできています。バネが見える場合があるので審美的に劣る場合もあります。
様々な部分入れ歯
装着例
- 臼歯


- 前歯


自費の入れ歯
金属床入れ歯
金属床の入れ歯は床の部分が金属でできている入れ歯のことを言います。
床の部分が金属でできている為、保険の入れ歯に比べて違和感が少ない入れ歯になります。
金属を使うことで、温度感覚が伝わりやすくなります。また、保険の入れ歯に比べて薄くできるので違和感が少なくなります。
欠点としては、保険の入れ歯と比べて修理が難しく、金属アレルギーの原因となる可能性があります。
- 金属床入れ歯の例
-
ノンクラスプデンチャー
ノンクラスプデンチャーとは、金属のバネ(クラスプ)を使わない入れ歯です。
新素材を使ってバネの部分も金属の物を使わず、歯ぐきと同じピンク色で作ることができ、審美的に優れた入れ歯となります。
金属と比べて耐久性が劣るのと、新素材(特殊な素材)を使用しているので、入れ歯の修理が困難になります。残っている歯の状態・本数によってはできない場合があります。
- 装着例














