歯周病は、歯茎の炎症や歯槽骨の退縮などを引き起こし、最悪の場合には歯を失う原因となります。
当院では、患者さまの歯周病を早期に発見し、適切な治療を行っております。
治療方法には、歯ぐきのクリーニングや歯石の除去、歯周ポケットの洗浄などがあります。また、歯周病予防のための口腔ケアの指導も行っております。患者様の口腔状態に合わせた個別の治療プランを作成し、患者様のお口の健康を守るお手伝いを致します。

歯周病とは

歯を支えている組織の病気の総称です。
歯肉に限局して炎症が起きている歯肉炎と歯肉以外の歯周組織(歯槽骨や歯周靭帯など)まで炎症が進んでいる歯周炎に分類できます。
-
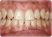
健康な歯肉

-
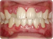
歯肉炎

-
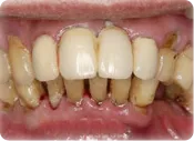
歯周炎


-
正常な歯茎の状態
この時、歯茎の内部では以下の図のように症状が進行していきます。

-
歯肉炎
歯肉にのみ炎症が生じたもので、歯根膜や骨(歯槽骨)までは破壊されていないもの。
歯肉は暗赤色で丸みを帯びて腫れ、歯磨きの時や固いものを食べた時に出血しやすくなります。
正しいブラッシングと歯石除去で良くなります。 
-
軽度歯周炎
骨(歯槽骨)が歯根の長さの1/3まで消失したもの。
歯肉の炎症が進行すると歯と歯肉の付着器官が溶け、歯周ポケットができます。また、歯を支えている骨(歯槽骨)が溶け始めます。 
-
中等度歯周炎
骨(歯槽骨)が歯根の長さの1/3~1/2まで消失したもの。
炎症がさらに悪化すると歯槽骨が溶けて歯根部が露出し、冷たいものや熱いものがしみたりする事もあります。
歯石が歯周ポケットの奥にますます付着し、歯肉が腫れ膿が出て来ます。口臭も徐々にひどくなり、歯を支えている骨(歯槽骨)の吸収により歯がグラグラ動きはじめます。 
-
重度歯周炎
骨(歯槽骨)が歯根の長さの1/2以上消失したもの。
歯槽骨がほとんど無くなり歯根が露出し、最後には抜けてしまいます。歯周病は重度に進行すると歯を抜かなければならなくなり、歯を失う最も大きな原因です。 虫歯のように鋭い痛みがなく徐々に進行しますので、知らないうちにかなり進行しているという方も大勢おられます。
歯周組織
歯を支えている組織で歯肉・歯槽骨・歯根膜・セメント質から成っています。
歯周病の特徴
下記の症状にあてはまるものがあれば、チェックをうけることをお勧めします。
- ブラッシング時に出血する
- 口が臭いと言われる
- 歯肉が赤く腫れている
- 歯が揺れている
- 口の中がネバネバする
- 歯が長くなってきたり、歯と歯の間に隙間ができてきた
歯周病の治療

TREATMENT01
初期治療
歯周病に対する基本的な治療です。歯周病の直接原因である歯垢、歯石の除去を行います。
それに加え、患者さん自身でしっかり衛生管理が出来るように、ブラッシング指導を行います。
これによって、歯周組織の状態が改善され、ポケットの深さが浅く維持されればメインテナンスに移ります。
TREATMENT02
外科治療
初期治療で歯周ポケットの深さが改善されない場合、外科的にポケットの深さを減少させ、健康な歯周組織を回復させる手術があります。また、特殊な材料を用いて部分的に失われた骨を再生させる手術を行う場合もあります。そのほか、もともと歯肉の厚みがうすい、あるいは歯肉がほとんどないような場合、歯根の露出や歯周病の進行を防止する目的で歯肉を移植したり歯肉の厚みを増やす手術も行っています。
- 当院外科治療の1例:歯周ポケット除去手術

- 手術の流れ

TREATMENT03
メインテナンス
お口の中の健康を維持し、歯周病の再発を防ぐために、定期的な検査を行います。
歯周ポケットができていないか検査し、必要に応じて歯垢、歯石の除去を行います。
人によってメインテナンスの間隔は様々です。当院では2ヶ月~半年に1度くらいのペースで行っています。
なぜ歯周炎の患者さんには外科治療が必要なのかというと、基本的に歯周ポケットは外科手術なしで自然治癒することはないからです。4㎜以上の歯周ポケットは外科処置の適応となりますが、中には手術を希望されない患者さんもおられます。そのような患者さんはできる限り定期的にポケット内清掃を行って、進行を防止することになります。
治療の流れを簡単に説明すると以下となります。
- 歯肉炎の患者さん
- ①初期治療 → ③メインテナンス
- 歯周炎の患者さん
- ①初期治療 → ②外科治療 → ③メインテナンス
歯周病と全身とのかかわり

RELATION01
糖尿病
歯周病と糖尿病は相互に悪影響を及ぼしあっています。
糖尿病があると治癒力や免疫力が低下するため歯周病が悪化しますし、歯周病があると歯周病の原因菌からの毒素が、血糖値を下げる働きをもつインスリンをつくりにくくし、この結果血糖値は上昇し、歯肉も高血糖状態となり、歯周組織の破壊が進み、歯周病原菌はさらに増えるため、糖尿病は悪化していくという悪循環におちいるのです。
最近では歯周病治療をおこなった患者ほど、血糖値が下がる傾向がみられたという研究報告もあります。
糖尿病をお持ちの方は歯周病の治療を真剣に考えてみられてはいかがでしょうか。
RELATION02
心臓血管疾患
脳梗塞、心筋梗塞や狭心症などの心臓血管疾患と歯周病とのかかわりも明らかにされてきました。
歯周ポケット内からの細菌により菌血症(細菌が血管中に侵入すること)が生じ、血管の細胞が損傷を受け、その結果、アテローム性動脈硬化症が引き起こされるというものです。
「アテローム」とは「粥状硬化(じゅくじょうこうか)」ともいわれ血管の内部に脂肪や石灰などが沈着して血管が狭くなる血管の変性のことです。
上に述べた脳梗塞や心筋梗塞などの原因となるものです。
アテローム病巣から歯周病の原因菌が検出されることもよくあるのです。
歯周病の予防、治療が心臓血管疾患の予防に直接結びつくことは、様々な研究からも証明されてきています。
RELATION03
妊婦
妊娠中のお口の中の変化として歯茎が腫れやすくなることがあげられます。妊娠性歯肉炎と呼ばれるものです。
妊娠中はホルモンの分泌が盛んになりますが、歯周病の原因菌の中にはこのホルモンを好む細菌がいるため、菌の数が増えて歯肉炎を引き起こすのです。そのうえつわりがあると、歯磨きをしたくなくなるのでよけい悪循環になってしまいます。しかし、日頃から歯磨きをしっかりおこなえば、歯肉炎を防ぐことは可能です。
そのほか歯周病にかかっている妊婦は、早産や低体重児を出産するリスクが高いという報告がなされています。歯周病になると、免疫を担当する細胞から血中に「サイトカイン」という物質が出されます。サイトカインとは細胞から体液中に分泌されるタンパク質のことで、非常に多くの種類があります。このサイトカインが過剰に分泌されると歯肉や歯槽骨が破壊され、歯周病が進みます。そしてサイトカインの血中濃度が上がると、妊娠している場合、妊婦の身体はそれを「出産開始の合図」とみなします。歯周病によるサイトカイン濃度の上昇を、身体が出産の準備が整ったと判断し、陣痛や子宮の収縮が起こって早産や低体重児出産を引き起こすのです。
チリでは歯周病治療をした妊婦はしなかった妊婦に比べて早産、低体重児の発現率が5分の1に減ったという研究報告があります。
女性の方は妊娠がわかったら歯周病の有無を調べるようにしましょう。
歯周病とタバコの関係
口の中の組織に対してタバコの与える悪影響をあげてみます

INFLUENCE01
免疫系に対して
- ・周病菌と戦う白血球の機能が低下してしまう
INFLUENCE02
歯肉に対して
- ・酸素や栄養を供給するのに大切な血管が、たばこのニコチンにより収縮してしまう
- ・歯肉を修復するために必要な繊維芽細胞の働きが抑制される
- ・歯と歯肉の境目にある溝の中の酸素が不足し、酸素が大嫌いな歯周病菌にとって繁殖しやすい環境を作ってしまう
- ・歯肉の腫れや出血が見た目以上に抑えられ、患者さん自身が歯周病に気づきにくくなるメラニンが沈着して歯肉が黒くなり、ゴツゴツした歯肉になる
INFLUENCE03
舌に対して
- ・味覚を感じる器官をヤニまみれの舌苔(舌の上にできる最近のかたまり)が覆い、味覚を鈍麻させる
- ・舌苔が口臭の原因になる






