顎顔面矯正で
きれいな歯並びと健康な身体を手に入れましょう

歯並びが悪くなる原因を
ご存知ですか?
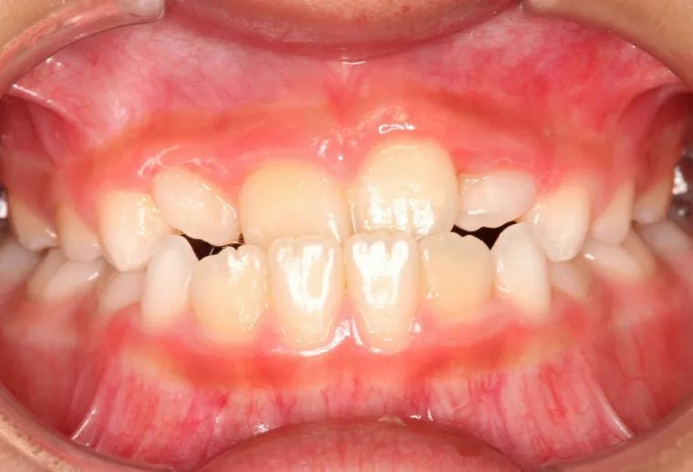
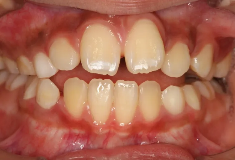
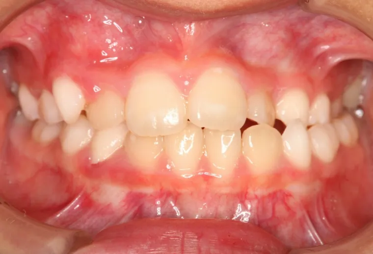
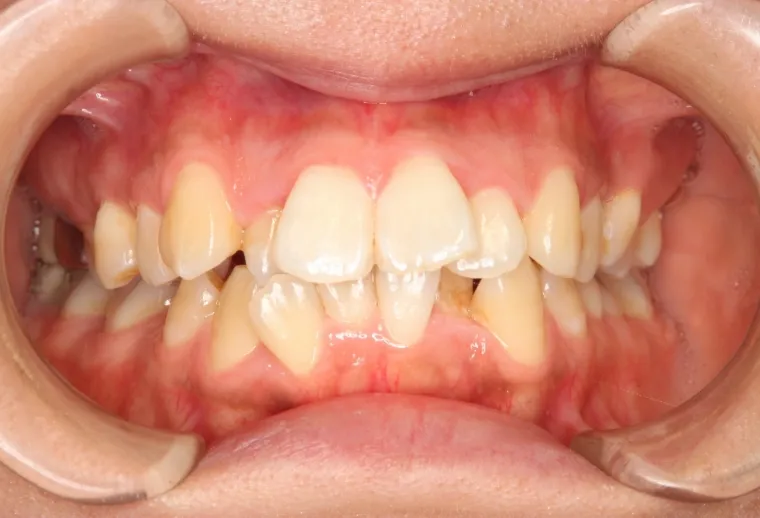
下の写真のように不正咬合には色々な種類がありますが、これらは全て顎の骨が小さいことが原因です
顎顔面矯正は、歯並びが悪くなる原因である「顎の骨が小さいこと」に着目し顎を大きくする、
つまり原因を骨格から改善することで永久歯の正常な歯並びへと誘導し結果的にお子様が健康的に生活できるようになるという画期的な矯正治療です。
上顎前突
下顎前突
叢生
開咬
交差咬合
過蓋咬合
顎顔面矯正はどんなお子さんに必要なの?
一見歯並びはいいように見えても矯正が必要なお子さんはたくさんおられます。
お子さんは下の項目にいくつ当てはまるでしょうか?
- 口呼吸(鼻呼吸できないためいつも口がポカンと開いている)
- いびきをかく
- 年中鼻づまり、鼻炎の症状が出る
- 昼間も眠そうにしている
- 喘息、アトピー等のアレルギーがでやすい
- 食べ物を水分と一緒に飲みこむことが多い
- 風邪をひきやすい
- 嘔吐反射が強い
このうち複数当てはまったなら顎顔面矯正が必要と思われます。
全く歯並びに関係なさそうな項目ばかりですが、これらの症状は全て上あごの骨の発育不全に大きく関わっています。
上あごに発育不全があると歯が並びにくくなるのはイメージしやすいと思いますが、大事なのは次の点です。
→上あごの発育が悪いと、鼻で呼吸できないのです。
これは上あごの大きさと鼻腔(鼻の空気の通り道)の大きさは非常に深い関係があるためです。
鼻で呼吸できないと口で呼吸するしかありません。口呼吸(こうこきゅう)が習慣的になると、上の項目のような症状が出てくるのです。
口呼吸の危険性については、いろんなサイトでも説明していますのでご覧になってください。
顎顔面矯正のメリットは?
口呼吸が治り、健康的な鼻呼吸へと改善されます
これは、上あごを大きくすることで鼻腔が広がり鼻で呼吸しやすくなるためです。
これにより鼻づまり、アレルギー性鼻炎、喘息、アトピーが治ります。
また、口呼吸をしていると口の中が乾燥するため唾液の作用が半減し、口臭や歯肉炎を起こしやすくなりますが、そういうこともなくなります。

睡眠の質が良くなります
睡眠中の酸素不足が日中の倦怠感や集中力の低下につながっていることがわかっています。
鼻腔の狭さはもちろんですが、下あごの位置が奥にあると気道を狭め、睡眠中の酸素不足を引き起こします。
しかし、上あごが大きくなると下あごの位置が前に誘導され改善されるので、いびきや睡眠時の無呼吸もなくなります。

顔立ちが良くなります
上あごの成長度合いが低いと鼻ぺちゃの顔貌のまま大人になってしまいます。
大人になってからそれを改善しようとしても不可能です。
子どものうちに上あごを大きくすることで骨の成長が活性化され鼻が高くなり横顔がカッコよくなります。

歯を抜かずに治療できます
あごを大きくすることで歯が並ぶスペースができるので抜歯が必要なくなりました。
従来の矯正治療は小さいあごの中でなんとか歯を並べようとしていたため、歯を抜かなければなりませんでした。いわば異常はあごの方にあるのに、異常がある方に合わせて健康な歯を抜いていたわけです。
当院はこの治療方法を取り入れてからは歯を1本も抜かずに矯正治療を行なっております。

治療後の安定性が高く後戻りがほとんどありません
矯正治療は治療終了後の後戻りが大きな問題の一つです。従来の矯正では後戻りを防ぐため右写真のようなリテーナーという装置を長期間装着する必要がありましたが、顎顔面矯正ではあごを大きくしてから並べるので、歯がゆったりと並び位置が安定します。
そのため治療後にリテーナーを入れる必要がありません。

治療の進め方は?
どのような不正咬合でもまず上あごの拡大を行います。
上あごに入れる拡大装置は3種類あり、症例に応じて使い分けます。
下あごに入れる装置は右のリンガルアーチという装置のみになります。
上あごに入れる装置
ハイラックス
上あごに入れる装置
ファンタイプ
上あごに入れる装置
バラエティ
下あごに入れる装置
リンガルアーチ
《拡大装置の効果》当院治療例
このように、あごを広げると歯がゆったり綺麗に並んでくるようになります。 歯が並ぶスペースができるので、抜歯が必要なくなるのもお分かりいただけるでしょう。 永久が生え揃う12歳くらいまでは、これらの装置を使いあごを大きくすることを目的として治療を行います。 これを一期治療と呼びます。
上あご

下あご

その後、永久歯が生え揃ってから、歯並びを最終的に綺麗に仕上げる治療を二期治療と呼びます。
二期治療ではブラケットとワイヤーを用いて治療を行います。

矯正治療は一期治療と二期治療のセットで進めていきます
『一期で広げて二期で仕上げる』と覚えてください。
顎顔面矯正はあごの骨の成長コントロールが可能な時期に限られます。
遅くても12歳までに治療開始が必要となります。
それ以降の年齢の方は成人矯正となります。
顎顔面矯正は鹿児島の【矯正歯科 くろえクリニック】の院長 黒江和斗先生により提唱されました。
黒江先生のセミナーに出席し、子供の不正咬合の原因と治療法に非常に感銘を受け、お子様の健康のための矯正はこれだ!と確信し、
それ以来この方法を取り入れています。
お子様の矯正をお考えの方は是非ご検討ください。無料の矯正相談も受け付けております。







